
| "My Experience was awesome! Everyone was very caring and attended to my wishes and needs. I only wish I could have experienced this early in life." |
| "Dr. West and staff are kind and enthusiastic. I always feel welcome and cared for during my appointments. Dr. West was very patient in explaining my options when extensive work was required. Also, I love the massage chair. I highly recommend Dr. West and his superior staff." |


| Dr. West is awesome! The numbing (shot) is the most painful part of the process but not with him. His pre-numb shot is pretty painless and the "bad" numb shot is too! Dr. West's chairside manner is wonderful Thank You! |
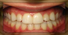
| Before |
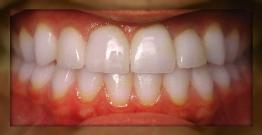
| After |
| "Fabulous Job! Thank You!" |
| A. Hall |
| "Dr. West is amazing and he can fix anything. My teeth look better today at 33 than they have since I was 16. Thank You!" |
| After |
| P. Felkins |
| R. Nicholas |
| D. Provenza |
| J. Gilmore |
| Advanced Dental Care |

| ~Brighten Your Smile~ |
| ~Smile Gallery~ |

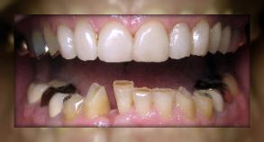
| Before |














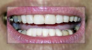
| After |
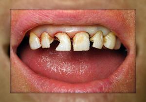
| Before |


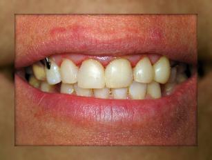
| After |
| Before |
| After |
| Before |
| After |
| Before |
| After |
| Before |
| Before |
| After |


| After |



