
| ~Crowns and Bridges~ |
A crown can help in the following ways: *Replace a large filling when there isn't enough tooth *Protect a weak tooth from fracturing *Restore a fractured tooth *Attach a bridge *Cover a dental implant *Cover a discolored or poorly shaped tooth *Cover a tooth that has had root canal treatment |
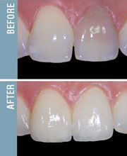
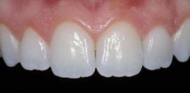
| A crown has a tooth-like shape and structure for function. It fits over a portion of you existing tooth or implant. Porcelain or ceramic crowns can be matched to the color of your natural teeth. Crowns can be made out of different types of materials they are: gold and metal alloys, acrylic, porcelain and ceramic. Alloys are generally stronger than porcelain and may be recommended for back teeth. Porcelain bonded to a metal shell is often used because it is both strong and attractive. |
| On your first appointment they will first take an impression of your tooth, this will be used to make the temporary crown or bridge. The Dr. will then do a preparation of the tooth or teeth by grinding it down to make room for the crown or bridge to fit on the top of it. You will need to make a choice of what you want your crown or bridge to look like. If porcelain is to be used, we will determine the correct shade for the crown or bridge to match the color of your existing teeth. We then take another impression of the prepared tooth or teeth. Using this impression, a dental lab then makes your crown or bridge, in the material you specify. A temporary crown or bridge will be put in place to cover the prepared tooth or teeth while the permanent crown or bridge is being made. In about 2 to 3 weeks, when the permanent crown or bridge is ready, you will come back for a second appointment. The temporary crown or bridge is removed, and the new crown or bridge is permanently cemented over your prepared tooth or teeth. |
| A bridge may be recommended if you're missing one or more teeth. Gaps left by missing teeth can eventually cause the remaining teeth to rotate or shift into the empty spaces. This can cause a bad bite and/or crooked teeth. The imbalance caused by missing teeth can also lead to gum disease and temporomandibular joint (TMJ) disorders. |

| Crowns |
| Bridges |


| Advanced Dental Care |




